
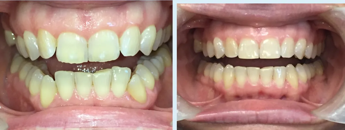
Here’s everything included in your $3,879 Invisalign package:
✔ Complete diagnostic workup (X‑rays, photos, 3D scan)
✔ Custom Invisalign aligners for your full treatment plan
✔ All office visits and progress checkups
✔ Final retainers to maintain your results
All of the above is covered by one flat $3,879 fee. No surprise add‑on charges.
Claim Your $3,879 All‑In Invisalign Consultation






I love all the staff. Everyone is so kind and welcoming. Dr. Kullberg has great attention to details. Unfortunately I’ve had to deal with a lot of issues with my teeth throughout my life and I feel really taken care of at Integrity Dental. I’ve learned so much about teeth and airways since I’ve been a patient with them. They are very good with my son too!
Blake C.
It was my second office visit with Dr. Kullberg’s office and her office exceeded my expectations! Every step of the way I was greeted with wonderful staff. Dr. Kullberg was so personable, extremely knowledgable and thorough! I would give 10 stars is I could!
Melly W.
I’ve always avoided the dentist for fear of the tools, heavy hands and no transparency of what was going on in my mouth. This office was extremely kind and patient with me throughout the whole visit. Explaining the process, what they see and answering all mg questions. I came in very nervous and left looking forward to my next visit! Elisa and Dr. Kullberg were amazing!
Jacqueline



Erika Kullberg, DMD
Dr. Erika Kullberg is an experienced and compassionate dentist who provides comprehensive, high-quality, gentle dental care in her state-of-the-art practice. As a Platinum Invisalign provider, she has extensive experience helping patients achieve confident, healthy smiles with advanced clear aligner treatment. For Dr. Kullberg, it’s all about building a practice with a skilled and caring team dedicated to serving each patient.
Today, there is an increasing awareness of the strong connection between oral and overall systemic health. Dr. Kullberg is passionate about educating her patients, understanding their concerns, and utilizing advanced materials and technology to deliver optimal results. At Integrity Dental, every patient is treated like family. She finds true fulfillment in getting to know each patient individually and being their #1 advocate in achieving and maintaining a healthy smile.
Originally from Gastonia, North Carolina (a suburb of Charlotte), Dr. Kullberg now proudly calls San Diego home. She attended Emory University in Atlanta, Georgia, where she earned her Bachelor of Science in Chemistry. She then graduated Magna Cum Laude from the Boston University Goldman School of Dental Medicine in 2010, earning her Doctorate of Dental Medicine. Dr. Kullberg was also an honored recipient of the Navy Health Professions Scholarship Program (HPSP), which led to her serving as a Lieutenant in the U.S. Navy for five years.
During her Naval career, Dr. Kullberg completed an Advanced Education in General Dentistry (AEGD) residency at Naval Medical Center San Diego. She was then stationed overseas for a one-year tour in Diego Garcia, British Indian Ocean Territory, where she served as the Division Officer of the dental clinic. She later spent three years as a staff dentist at the Marine Corps Recruit Depot (MCRD) in San Diego. During this time, she was awarded both the Navy and Marine Corps Achievement and Commendation Medals. After completing her service, she continued her career in private practice as an associate with Cottonwood Dental Group in Rancho San Diego.
Dr. Kullberg and her team are proud of the warm, welcoming environment they have created and the lasting relationships they’ve built with multi-generational families in the community. She is committed to continuing education and staying at the forefront of modern dental techniques. She also values giving back and has been actively involved in organized dentistry, serving as President of the San Diego Academy of General Dentistry (SDAGD) in 2018. She is also a member of the San Diego County Dental Society, California Dental Association, and American Dental Association.
Dentistry has been an incredibly rewarding profession for Dr. Kullberg, allowing her to create positive experiences and healthy smiles both in and out of the office. In her free time, she enjoys spending quality time with her family, traveling with her husband and their three sons—Leo, Maddox, and Rocco—running, practicing yoga, and relaxing at the beach. Dr. Kullberg welcomes patients of all ages and looks forward to meeting you and providing the professional, caring, and pain-free dental care you deserve.

Lorem ipsum dolor sit amet, consectetur adipiscing elit. Ut ultrices eget orci et aliquet. Praesent tincidunt sed nisl nec facilisis. Pellentesque ut eros dictum, posuere nibh at, blandit leo. Aenean lobortis arcu.
Call (858) 273-0700
Office: 3737 Moraga Ave # B206, San Diego California 92117
Email: [email protected]
Site: https://www.integritydentalsd.com/